Особенности кривой Spee на рентгенограммах и ее изменение при лечении пациентов техникой «прямой» дуги
- Авторы: Шкарин В.В.1, Дмитриенко Т.Д.1, Михальченко А.Д.1
-
Учреждения:
- Волгоградский государственный медицинский университет
- Выпуск: Том 22, № 3 (2025)
- Страницы: 81-89
- Раздел: Статьи
- Статья опубликована: 05.10.2025
- URL: https://cijournal.ru/2658-4514/article/view/692109
- DOI: https://doi.org/10.19163/2658-4514-2025-22-3-81-89
- ID: 692109
Цитировать
Полный текст
Аннотация
Определение особенностей окклюзионной кривой Spee является актуальной задачей протетической стоматологии и ортодонтии. В большинстве случаев кривизна окклюзионной плоскости определяется на гипсовых моделях челюстей. В то же время крайне мало сведений о методах построения окклюзионной кривой Spee на ТРГ в латеральной проекции. Цель. Разработать метод построения кривой Spee на боковой телерентгенограмме и провести анализ у людей с физиологической и патологической окклюзией, а также оценить изменение окклюзионной кривой при лечении пациентов техникой «прямой» дуги. Материал и методы. Исследование было многоплановым и включало анализ телерентгенограмм и ортопантомограмм людей молодого возраста с физиологическими вариантами окклюзионного взаимоотношения антагонистов. Данное исследование носило ретроспективный кагортный характер. Измеряли расстояние между передней и задней окклюзионными точками, через которые проходила окклюзионная линия. Использование программ PowerPoint позволило проводить окружность, проходящую по линии смыкания зубов через окклюзионные точки. Измеряли радиус окружности. Оценивали отношение радиуса круга к длине сагиттального размера окклюзионной линии. Глубину окклюзионной кривой измеряли от точки наибольшей выпуклости до окклюзионной линии. Статистический анализ включал расчет средних показателей (М) и ошибку репрезентативности (±m). Результаты и обсуждение. В ходе проведенного анализа разработан метод построения кривой Spee на ТРГ в боковой проекции, основанный на соразмерности сагиттального размера окклюзионной линии, измеряемой между передней и задней окклюзионными точками нижней зубной дуги и радиуса окклюзионного круга. Величина радиуса превышала сагиттальное расстояние окклюзионной линии на величину, соответствующую числу Фибоначчи (1,618) и принципу «золотого сечения». Проведенное лечение техникой «прямой» дуги способствовало нормализации окклюзионного равновесия и торка передних зубов, однако не соответствовало оптимальному окклюзионному статусу, характеризующему физиологическую окклюзию. Заключение. Полученные данные легли в основу дифференциальной диагностики физиологических и патологических вариантов кривой Spee. Следует отметить, что лечение пациентов техникой «прямой» (плоской) дуги, вне зависимости от выраженности кривой Spee до лечения, не соответствует достижению оптимального окклюзионного статуса, характеризующего физиологическую окклюзию.
Полный текст
Особенностям построения и анализа кривой Spee посвящены исследования отечественных и зарубежных специалистов [1, 2]. При этом авторы оценивают важность и необходимость анализа положения окклюзионной плоскости и выраженность кривой Spee. Специалисты акцентируют внимание на особенности анализа окклюзионного статуса на телерентгенограммах в боковой проекции [3].
В приведенном исследовании авторы отмечают необходимость проведения комплекса мероприятий для диагностики патологии челюстно-лицевой области и приводят сведения о взаимозависимости и взаимосвязи морфологических методов с рентгенологическими. Из рентгенологических методов особое значение имеют телерентгенографические и ортопантомографические.
Данные методы не заменимы при исследовании височно-нижнечелюстных суставов и при определении особенностей врожденной и наследственной патологии челюстно-лицевой области [4, 5].
Необходимость анализа окклюзионного состояния обусловлена выбором методом протетического и ортодонтического лечения в различные возрастные периоды [6, 7]. В указанных источниках авторы обращают внимание на изменение окклюзионной линии. В периоде молочного прикуса практически все зубы касаются окклюзионной плоскости, и на рентгенограммах отмечается отсутствие кривой Spee. Формирование кривой начинается после прорезывания первых моляров с последующим увеличением глубины после прорезывания остальных дистально расположенных зубов. Не исключено влияние дефектов твердых тканей зубов на формирование окклюзионной линии и на деформацию зубочелюстных дуг [8].
В настоящее время при анализе окклюзионной плоскости и кривой Spee специалисты рекомендуют использовать биометрические методы исследования на гипсовых моделях челюстей [9–11]. При этом уделяют внимание одонтометрии, соразмерностям частей зуба, торковым и ангуляционным наклонам зубов.
Биометрические и рентгенологические методы анализа окклюзионного статуса, как правило, лежат в основе моделирования зубных дуг как в учебных целях, так и в клинической практике [12].
Моделирование окклюзионной плоскости необходимо при протезировании дефектов и при прогнозировании формы зубочелюстных дуг при выборе методов ортодонтического лечения.
С помощью методов биометрической диагностики определяется тактика ортодонтического лечения, в особенности выбор прописи брекетов с учетом типологических особенностей лица и зубочелюстных дуг [13, 14]. С учетом прописей брекетов определяется этапность смены и выбора размеров металлических дуг техники эджуайс [15, 16].
Авторы рекомендуют осуществлять контроль за кривизной окклюзионной плоскости Spee на всех этапах лечения. Однако многие практические врачи ограничиваются лечением техникой «прямой» дуги, как наиболее удобным и простым методом лечения. В то же время требуются исследования, направленные на изучение динамики изменения окклюзионной кривой при лечении техникой «прямой» дуги. Все выше изложенное предопределяет цель настоящей работы.
ЦЕЛЬ РАБОТЫ
Разработать метод построения кривой Spee на боковой телерентгенограмме и провести анализ у людей с физиологической и патологической окклюзией, а также оценить изменение окклюзионной кривой при лечении пациентов техникой «прямой» дуги.
МЕТОДИКА ИССЛЕДОВАНИЯ
Исследование было многоплановым и включало анализ телерентгенограмм (ТРГ) и ортопантомограмм (ОПТГ) людей молодого возраста с физиологическими вариантами окклюзионного взаимоотношения антагонистов. Данное исследование носило ретроспективный кагортный характер. Проанализированы результаты 62 ТРГ и ОПТГ с физиологическим прикусом (1-я группа исследования).
Следующим этапом исследования был анализ боковых телерентгенограмм 16 пациентов с дистальной окклюзией (2-я группа исследования), полученных до лечения и после лечения техникой эджуайс – «прямой» (плоской) дуги.
В 1-ю подгруппу 2-й группы вошли пациенты, у которых до лечения отмечались варианты патологической кривой Spee. Во 2-й подгруппе 2-й группы до лечения кривая Spee соответствовала оптимальной норме.
При анализе латеральных ТРГ устанавливали реперный окклюзионные точки в переднем и боковом отделе. Передняя точка устанавливалась на режущем крае нижнего медиального резца, которую в клинике ортодонтии обозначают как vPOcP. Дистальная точка второго нижнего моляра обозначалась как hPOcP. Измеряли расстояние между окклюзионными точками, что определяло сагиттальный размер окклюзионной линии. Использование программ PowerPoint позволило проводить окружность, проходящую по линии смыкания зубов через окклюзионные точки. Измеряли радиус окружности. Учитывая вариабельность размеров окклюзионной линии и радиуса окружности, определяли относительный показатель через отношение радиуса круга к длине сагиттального размера окклюзионной линии. Глубину окклюзионной кривой измеряли от точки наибольшей выпуклости до окклюзионной линии (рис. 1). На ортопантомограмме (ОПТГ) также соединяли окклюзионные точки правой и левой стороны и измеряли глубину окклюзионной кривой от точки наибольшей выпуклости до окклюзионной прямой линии. Результаты глубины кривой Spee сравнивали по данным ТРГ и ОПТГ.
Рис. 1. Метод определения кривой Spee на ТРГ (а) и на ОПТГ (б)
Статистический анализ проводили с использованием программы Microsoft Excel. Оценивали средние значения показателей (М) и ошибку репрезентативности (±m).
РЕЗУЛЬТАТЫ ИССЛЕДОВАНИЯ И ИХ ОБСУЖДЕНИЕ
В ходе исследования установлено, что в 1-й подгруппу вошли ТРГ и ОПТГ 18 человек 1-й группы, что составило (29,03 ± 5,78) % от всех пациентов, рентгенограммы которых были проанализированы. У всех пациентов величина угла нижней челюсти была более 125° и в среднем составила (129,89 ± 3,62)° и характеризовала вертикальный тип нижней челюсти.
Учитывая существенную вариабельность линейных показателей, обусловленных типологическими (гнатическими и дентальными) вариантами зубочелюстных дуг, анализ проводили только при измерении глубины кривой Spee в наиболее углубленном месте и оценивали относительный показатель через отношение радиуса круга к сагиттальному расстоянию окклюзионной линии.
Анализ результатов показал, что глубина кривой Spee в среднем по подгруппе составил (4,12 ± 0,53) мм как при анализе ТРГ, так и ОПТГ.
Деление величины радиуса круга к длине окклюзионной линии составило 1,623 ± 0,02. Таким образом, для определения радиуса окружности, соответствующей кривизне окклюзионного контура боковой ТРГ, необходимо измерить расстояние между передней и задней окклюзионными точками и последующим умножением полученной величины на число Фибоначчи (рис. 2).
Рис. 2. Особенности кривой Spee на ТРГ (а) и ОПТГ (б) у людей с признаками вертикального роста
На рентгенограммах людей 2-й подгруппы (30 человек с нейтральным типом роста) величина угла нижней челюсти в среднем составила (120,34 ± 2,19) ° и характеризовала нейтральный тип нижней челюсти.
Глубина кривой Spee в среднем по 2-й подгруппе составил (3,54 ± 0,58) мм, что было незначительно меньше, чем при анализе аналогичного показателя 1-й подгруппы.
Достоверных различий с показателями, полученными при анализе ТРГ и ОПТГ, нами не отмечено (р ˃ 0,05). Деление величины радиуса круга к длине окклюзионной линии составило 1,612 ± 0,02, что, так же как и в 1-й подгруппе, было близким по значению к числу Фибоначчи (1, 618).
В 3-ю подгруппу вошли ТРГ и ОПТГ 14 человек 1-й группы, что составило (22,58 ± 5,31) % от общего количества людей 1-й группы. Величина угла нижней челюсти в среднем составила (114,85 ± 2,87)° и характеризовала горизонтальный тип нижней челюсти.
Глубина кривой Spee в среднем по 2-й подгруппе составил (2,94 ± 0,47) мм, что было меньше, чем в других подгруппах. Деление величины радиуса круга к длине окклюзионной линии составило 1,616 ± 0,02 (рис. 4).
Рис. 3. Особенности кривой Spee на ТРГ (а) и ОПТГ (б) при нейтральном типе роста нижней челюсти
Рис. 4. Особенности кривой Spee на ТРГ (а) и ОПТГ (б) у людей с горизонтальным типом лица
У людей с аномалиями окклюзии по сагиттали в 1-й подгруппе обследовано 9 человек. Обращает на себя внимание увеличение глубины кривой Spee, что нами расценивалось, как патологическая форма кривой линии окклюзии.
Глубина кривой Spee в среднем по 2-й подгруппе составила (5,69 ± 1,57) мм, что было достоверно больше, чем у людей с физиологической окклюзией (р ˂ 0,05). Достоверных различий с показателями, полученными при анализе ТРГ и ОПТГ, нами не отмечено (р ˃ 0,05). Отношение радиуса окружности к сагиттальному размеру окклюзионной линии в среднем по подгруппе составляло 1,372 ± 0,042 и не соответствовало числу Фибоначчи, что может быть использовано в качестве диагностического критерия определения патологической формы кривой Spee. После лечения пациентов техникой «прямой» дуги было отмечено незначительное увеличение сагиттального размера окклюзионной лини в среднем на (2,12 ± 0,77) мм. Однако окклюзионная линия практически касалась окклюзионного контура всех жевательных зубов, и отмечалось практически полное отсутствие кривой Spee.
Таким образом, проведенное лечение техникой «прямой» дуги способствует нормализации окклюзионного равновесия и торку передних зубов, однако не соответствует оптимальному окклюзионному статусу, характеризующему физиологическую окклюзию. При этом величина нижнечелюстного угла оставалась на прежнем уровне (рис. 5).
Рис. 5. Особенности ТРГ при патологической кривой Spee до лечения (а) и после лечения (б) техникой «прямой» дуги
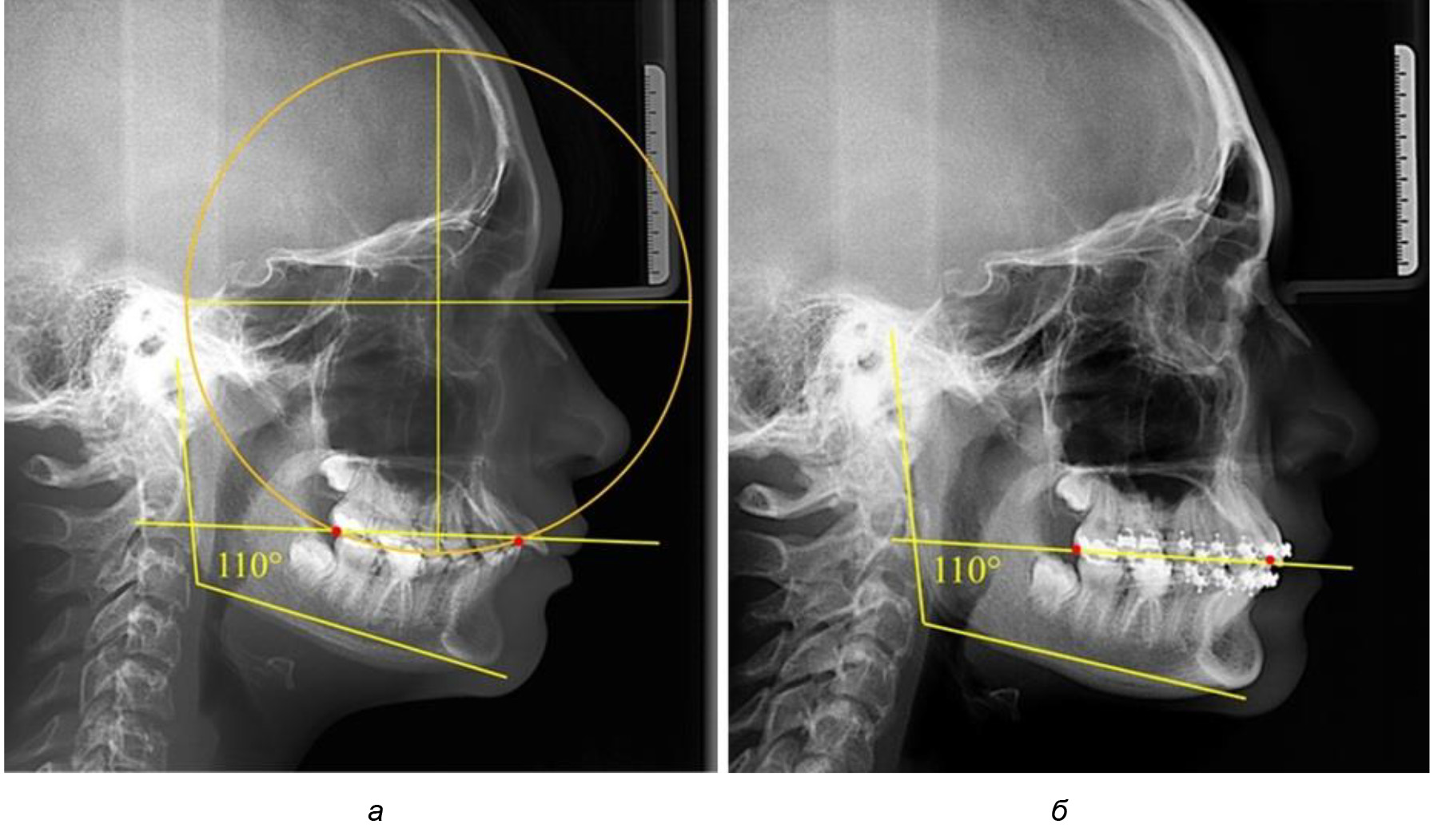
Во 2-й подгруппе 2-й группы было обследовано 7 человек.
Указанная величина не имела достоверного отличия с 1-й подгруппой (р ˃ 0,05), что определяло однородность групп по количественному признаку.
Обращает на себя внимание, что глубина кривой Spee в анализируемой подгруппе практически не отличалась от показателей, полученных у людей с физиологической окклюзией, и составляла (4,23 ± 1,58) мм. Отношение радиуса окружности к сагиттальному размеру окклюзионной линии в среднем по подгруппе составляло 1,623 ± 0,02 и соответствовало числу Фибоначчи.
После лечения пациентов техникой «прямой» дуги, так же как и в 1-й подгруппе, было отмечено увеличение сагиттального размера окклюзионной лини в среднем на (2,38 ± 0,83) мм. Окклюзионная линия практически касалась окклюзионного контура всех жевательных зубов, и отмечалось практически полное отсутствие кривой Spee, так же как и у людей 1-й подгруппы 2-й группы (рис. 6).
Рис. 6. Особенности ТРГ при оптимальной кривой Spee до лечения (а) и после лечения (б) техникой «прямой» дуги
Таким образом, проведенное лечение техникой «прямой» дуги способствует нормализации окклюзионного равновесия и торку передних зубов, однако не соответствует оптимальному окклюзионному статусу, характеризующему физиологическую окклюзию. При этом величина нижнечелюстного угла оставалась на прежнем уровне.
ЗАКЛЮЧЕНИЕ
В ходе проведенного анализа разработан метод построения кривой Spee на ТРГ в боковой проекции, основанный на соразмерности сагиттального размера окклюзионной линии, измеряемой между передней и задней окклюзионными точками нижней зубной дуги и радиуса окклюзионного круга. Величина радиуса превышала сагиттальное расстояние окклюзионной линии на величину, соответствующую числу Фибоначчи (1,618) и принципу «золотого сечения». Полученные данные легли в основу дифференциальной диагностики физиологических и патологических вариантов кривой Spee. Следует отметить, что лечение пациентов техникой «прямой» (плоской) дуги, вне зависимости от выраженности кривой Spee до лечения, не соответствует достижению оптимального окклюзионного статуса, характеризующего физиологическую окклюзию.
Об авторах
Владимир Вячеславович Шкарин
Волгоградский государственный медицинский университет
Email: vishkarin@mail.ru
ORCID iD: 0000-0001-7158-0282
доктор медицинских наук, профессор
Россия, ВолгоградТатьяна Дмитриевна Дмитриенко
Волгоградский государственный медицинский университет
Автор, ответственный за переписку.
Email: svdmitrienko@volgmed.ru
ORCID iD: 0000-0002-0935-5575
кандидат медицинских наук, доцент
Россия, ВолгоградАлексей Дмитриевич Михальченко
Волгоградский государственный медицинский университет
Email: lehasik.m@yandex.ru
ORCID iD: 0009-0002-6601-1856
аспирант
Россия, ВолгоградСписок литературы
- Можаров В. Н., Коробкеев А. А., Доменюк Д. А., Кочконян Т. С. Особенности ориентации окклюзионной плоскости у людей с различными типами гнатической части лица. Медицинский вестник Северного Кавказа. 2021;16(1):42–45. doi: 10.14300/mnnc.2021.16011.
- Shkarin V. V., Kochkonyan Т. S., Domenyuk D. A. Occlusal plane orientation in patients with dentofacial anomalies based on morphometric cranio-facial measurements. Archiv EuroMedica. 2021;11(1):116–121. doi: 10.35630/ 2199-885Х/2021/11/1/116-119.
- Доменюк Д. А., Давыдов Б. Н., Ведешина Э. Г. Рентгенологические и морфометрические методы в комплексной оценке кефало-одонтологического статуса пациентов стоматологического профиля. Часть I. Институт стоматологии. 2017;75(2):58–61.
- Domenyuk D. A., Kharatyunyan Yu., Domenyuk S. D. Structural arrangement of the temporamandibular joint in view of the constitutional anatomy. Archiv EuroMedica. 2020;10(1):128–138. doi: 10.35630/2199-885Х/2020/ 10/1/128-138.
- Harutyunyan Yu., Kondratyeva T. S., Domenyuk D. A. Undifferentiated connective tissue dysplasia as a key factor in pathogenesis of maxillofacial disorders in children and adolesce. Archiv EuroMedica. 2020;10(2):83–94. doi: 10.35630/2199-885Х/2020/10/2/83-94.
- Дмитриенко С. В. Ортопедическое лечение детей с дефектами зубных рядов. Стоматология детского возраста и профилактика. 2001;1(1):47–50.
- Климова Н. Н., Филимонова Е. В., Дмитриенко Д. С. Применение эстетических протетических конструкций в клинике стоматологии детского возраста. Ортодонтия. 2007;4(69):25–28.
- Дмитриенко С. В., Иванов Л. П., Миликевич В. Ю. Поражаемость молочных зубов кариесом и нуждаемость в профилактическом протезировании дошкольников с функциональным расстройством желудка. Стоматология. 1999;3:37.
- Дмитриенко С. В. Шкарин В. В., Дмитриенко Т. Д. Методы биометрического исследования зубочелюстных дуг. Волгоград : Издательство ВолгГМУ, 2022. 220 с.
- Шкарин В. В., Фомин И. В., Дмитриенко Т. Д. Сравнительный анализ результатов различных методов биометрии зубных дуг. Волгоградский научно-медицинский журнал. 2023;20(1):40–43.
- Гончаров В. В., Краюшкин А. И. Методы измерения зубов. Волгоград, 1998. 48 с.
- Доменюк Д. А., Давыдов Б. Н., Будайчиев Г. М.-А., Иванюта С. О. Математическое моделирование формы и размеров зубных дуг для выбора тактики и объема ортодонтического лечения пациентов с аномалиями зубочелюстной системы. Медицинcкий алфавит. 2018;2(8):7–13.
- Давыдов Б. Н., Давыдов Б. Н., Ведешина Э. Г. Биометрическое обоснование основных линейных размеров зубных дуг для определения тактики ортодонтического лечения техникой эджуайс. Часть I. Институт стоматологии. 2016;70(1):76–78.
- Давыдов Б. Н., Давыдов Б. Н., Ведешина Э. Г. Биометрическое обоснование основных линейных размеров зубных дуг для определения тактики ортодонтического лечения техникой эджуайс. Часть II. Институт стоматологии. 2016;71(2):66–67.
- Доменюк Д. А., Давыдов Б. Н., Ведешина Э. Г., Гаглоева Н. Ф., Налбандян Л. В. Определение особенностей выбора металлических дуг и прописи брекетов при лечении техникой эджуайс. Часть I. Институт стоматологии. 2015;69(4):92–93.
- Доменюк Д. А., Давыдов Б. Н., Ведешина Э. Г., Гаглоева Н. Ф., Налбандян Л. В. Определение особенностей выбора металлических дуг и прописи брекетов при лечении техникой эджуайс. Часть II. Институт стоматологии. 2016;70(1):54–57.
Дополнительные файлы









